임플란트
고난도 임플란트
정확함과 완성도로 승부하는
전악 임플란트
풍부한 임상 경험을 바탕으로,
상악동거상술·뼈이식·교합거상 등 고난도 케이스까지 안전하게 진행합니다.
정밀한 네비게이션 가이드 수술 시스템으로, 예측 가능한 결과를 완성합니다.
이숲치과의 임플란트는 많은 케이스와 결과로 보여드립니다.
E SOOP DENTAL CLINIC •
E SOOP DENTAL CLINIC •
E SOOP DENTAL CLINIC •
E SOOP DENTAL CLINIC •
E SOOP DENTAL CLINIC
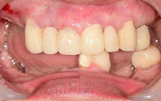
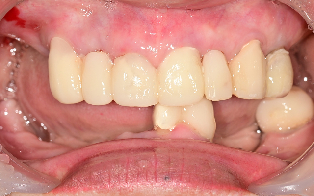
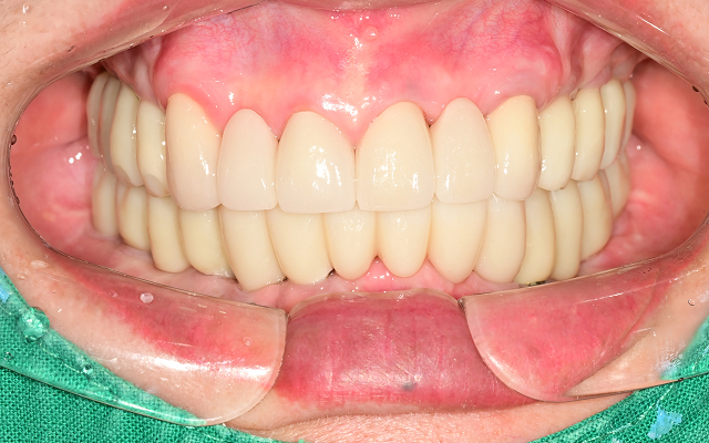
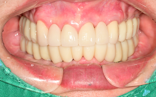
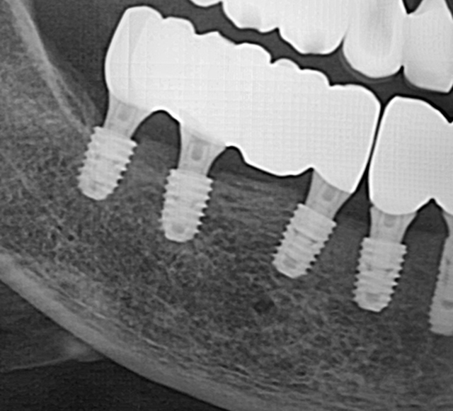
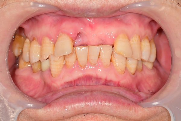
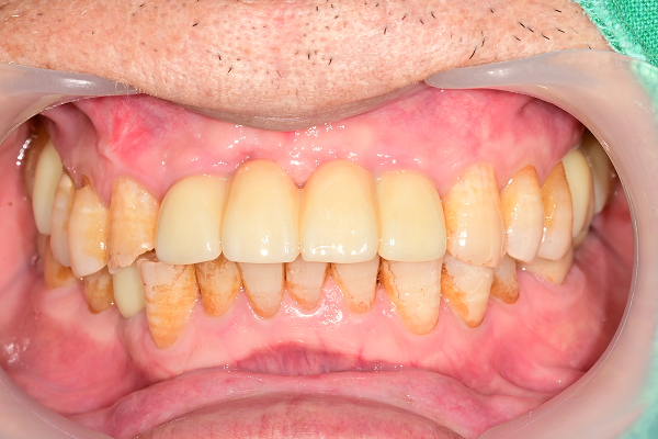
전악 케이스
- 상·하악 전체 보철 설계를 통해 정확한 교합(물림) 회복
- 심미·발음·저작 기능을 종합 고려한 자연스러운 전악 임플란트




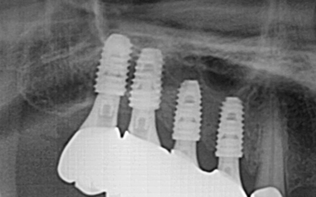
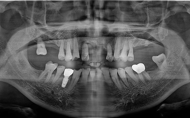
고난도 뼈이식 케이스
- 정밀 영상 진단으로 결손 부위를 파악하여 안전하게 골이식
- 미세 수술 장비를 활용해 식립 안정성 및 성공률 향상


상악동 거상술 케이스
- 얇은 위턱 어금니 부위에 상악동을 거상하여 골량 보강
- 임상 경험을 바탕으로 합병증을 낮추고 예측 가능한 결과 도출


교합거상 케이스
- 마모·손상으로 낮아진 물림 높이를 정밀 분석 후 단계적으로 회복
- 턱관절·저작근 균형을 고려하여 기능과 심미를 동시에 개선



