교정치료

성장기교정

성장기에는 교정 시기
치료의 절반입니다.

턱 성장 방향과 교합을 조기에 바로잡아
평생 바른 치열과 얼굴 균형을 만듭니다.

E SOOP DENTAL CLINIC • E SOOP DENTAL CLINIC • E SOOP DENTAL CLINIC • E SOOP DENTAL CLINIC • E SOOP DENTAL CLINIC

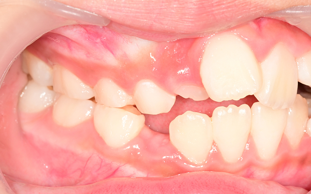
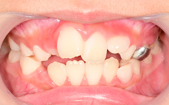
성장기 교정 시기를 놓치면 생길 수 있는 문제

  • 01

    턱뼈의 성장이 비대칭으로 진행되어 성인 교정 시 수술이 필요할 수도 있음(양악수술)

  • 02

    영구치가 덧니로 나거나 발치가 필요한 경우로 악화(발치교정)

  • 03

    교합 불균형으로 턱관절 통증, 비대칭 얼굴선이 생길 수 있음

  • 04

    입으로 호흡하는 습관이 고착되어 얼굴형이 길어짐

성장기 교정 방식

전통적인 장치 교정

턱 성장 방향을 조절하거나, 유치공간을 확보하는 장치를 사용합니다. (가철식 장치, 확장 장치, 헤드기어 등)

인비절라인 퍼스트 (Invisalign First)

- 장치가 투명하고 착용감이 좋아 아이들이 부담 없이 착용
- 디지털 스캔을 통해 성장 예측 기반으로 정밀한 설계
- 교정과 전문의가 성장 단계에 맞춰 장치 교체 시점 직접 관리

이숲치과 성장기 교정의 특징

연세대 출신 교정과 전문의가
직접 진단 및 관리

인비절라인 퍼스트 및
디지털 교정 시스템 완비

교정 중 성장 모니터링으로
얼굴 균형까지 함께 관리

FAQ

자주 묻는 질문

  • A

    일반적으로 만 7세 전후, 영구치가 앞니와 어금니 일부 맹출할 때부터 가능하고, 빠르면 만5~6세 정도 유치열기 부터 가능합니다. 이 시기에 교정과 전문의의 검진을 받아, 성장 방향을 미리 점검하는 것이 중요합니다.

오시는 길

Operating Time

월·화·목요일
09:30-18:30
수·금요일
09:30-20:30 야간진료
토요일
09:30-13:30 점심시간 없이 진료
휴게시간
13:00-14:00
일요일·공휴일
휴진

Information

경기도 성남시 중원구 금빛로 43 5층

031-736-2879