보철·심미치료
앞니레진치료
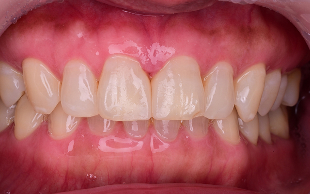
삭제는 최소화, 심미성은 극대화
앞니는 작은 틈이나 변색만 있어도 웃을 때 크게 신경 쓰이기 마련입니다.
이숲치과의 앞니 레진치료는 치아 삭제를 최소화하면서
자연스러운 색감과 형태를 재현해 심미성을 회복하는 치료입니다.
특히 다이아스테마(앞니 벌어짐), 블랙 트라이앵글(치아 사이 공간) 개선에 효과적이며,
대부분 당일 치료로 마무리할 수 있어 환자분들의 만족도가 높습니다.
또한 불만족스러운점이 있을시, 손쉽개 개선이 가능합니다.


E SOOP DENTAL CLINIC •
E SOOP DENTAL CLINIC •
E SOOP DENTAL CLINIC •
E SOOP DENTAL CLINIC •
E SOOP DENTAL CLINIC
Point
앞니 레진치료의 장점
-
삭제 최소화
치아 보존 극대화
-
자연스러운 심미성
치아색·투명도 재현
-
다양한 케이스 적용
벌어진 앞니, 블랙 트라이앵글, 파절, 변색 개선
-
빠른 완성
당일 치료 가능