보철·심미치료
앞니크라운치료
자연스럽게, 튼튼하게
앞니는 웃을 때 가장 눈에 잘 띄는 부위이기 때문에,
치료 후에도 자연스러운 모양과 색을 구현하는 것이 무엇보다 중요합니다.
앞니크라운치료는 보통 치아가 많이 손상되었을때,
보철치료로 치아의 모양을 바꾸고 싶을때 주로 합니다.


E SOOP DENTAL CLINIC •
E SOOP DENTAL CLINIC •
E SOOP DENTAL CLINIC •
E SOOP DENTAL CLINIC •
E SOOP DENTAL CLINIC
앞니 크라운치료의 특징
자연스러운 심미성
개인마다 다른 치아 색과 투명도를 반영하여,
기존 치아와 조화로운 결과를 얻을 수 있습니다.
기능과 심미성 동시 회복
약해진 치아를 보호하면서 저작 기능까지 회복해
심미성과 기능을 동시에 충족합니다.
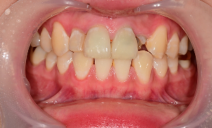
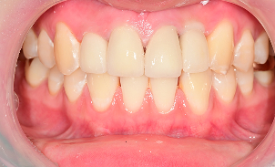
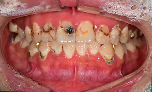
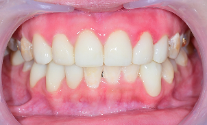
앞니 크라운 치료 사례
- 파절·우식 등으로 손상된 앞니의 형태와 강도 회복
- 주변 치아와 조화로운 색·투명도 재현으로 자연스러운 심미성 확보
- 교합 안정으로 발음·저작 기능 개선





